一、急性失血性贫血
 
失血是贫血的常见原因之一。急性失血性贫血是由于外伤或疾病造成血管破裂或止血机制缺陷,在短时间内大量失血而引起的贫血。
(一)临床特征
急性失血时一般有明确的病史,如外伤所致的肝脾等脏器破裂出血,肝硬化失代偿期食道胃底静脉破裂出血,胃或十二指肠溃疡等疾病引起的消化道大出血,宫外孕破裂出血、前置胎盘等产科大出血,肺结核或支气管扩张时的咯血,肿瘤等侵蚀血管壁引起的大出血等,各种止血机制缺陷的患者如血友病等以及抗凝抗血小板药物服用时,急性失血早期可表现为烦躁不安、焦虑等,随着失血量增加,表现为表情淡漠、迟钝甚至意识丧失。
(二)实验室特点
急性失血的最初12小时,因血浆和血细胞损失的比例大致相等,血容量减少、血红蛋白和红细胞比积可仍在正常范围内。随着血液稀释,血红蛋白和红细胞比积逐渐下降,失血后2~3天最为显著。贫血呈正常细胞正常色素性。网织红细胞在急性失血后3~5天内开始升高,6~10天最高,但一般不超过15%。急性失血后3~5小时白细胞也增高,以中性粒细胞增高为主。急性失血后血小板也可增高。急性失血后骨髓呈增生象,主要是幼红细胞增生;在出血停止后2周,幼红细胞增生可以消失,若白细胞、血小板和网织红细胞持续升高者,必须排除潜在出血的可能。
(三)诊断与鉴别诊断
根据病史和临床表现急性失血性贫血诊断一般并无困难。诊断的内容还应包括病因的诊断及失血程度的准确判断。
急性失血性贫血须与其它可能在短期内引起贫血或血压下降的疾病相鉴别,如急性溶血性贫血、DIC、感染性休克、过敏性休克等。
急性大量失血可发生于创伤、消化道大出血、咯血、病理产科等;大量失血后恢复期和长期慢性失血临床上经常表现为缺铁性贫血。
二、慢性失血性贫血
 
失血性贫血根据失血速度分急性和慢性。慢性失血可见于各种失血,如慢性胃肠道失血、食管裂孔疝、食管或胃底静脉曲张破裂、胃十二指肠溃疡、消化道息肉、肿瘤、寄生虫感染和痔疮等;咯血和肺泡出血,如肺含铁血黄素沉着症、肺出血肾炎综合征、肺结核、支气管扩张和肺癌等;月经过多,如宫内放置节育环、子宫肌瘤及月经失调等;血红蛋白尿,如阵发性睡眠性血红蛋白尿、冷抗体型自身免疫溶血性贫血、人工心脏瓣膜、行军性血红蛋白尿等;其他如反复血液透析、多次献血等。
慢性失血性贫血往往合并缺铁性贫血,临床特征和实验室特点见第三章缺铁性贫血。
三、溶血性输血反应
 
输血后红细胞发生异常破坏引起的反应称为溶血性输血反应,通常分为免疫性和非免疫性溶血反应;根据溶血的部位可分为血管内溶血和血管外溶血;根据发生的时间又可以分为急性溶血性输血反应和迟发性溶血性输血反应。
(一)免疫性溶血反应
免疫性溶血反应又分为急性溶血性输血反应和迟发性溶血性输血反应。
1.急性溶血性输血反应 主要是血型不合,如输入ABO血型不合的红细胞,在血管内被受血者的抗A或抗B所破坏,这是急性血管内溶血反应最常见的。因红细胞溶解,大量游离血红蛋白释放入血循环,形成高血红蛋白血症,出现血红蛋白尿,引起肾小管阻塞,少尿或无尿,甚至肾功能衰竭;严重者可出现DIC、休克等,危及生命。一般认为O型红细胞缺乏A、B抗原,O型血可以输给A型、B型和AB型的人;但是O型血浆中含有抗A、抗B抗体,能致敏或凝集A型、B型和AB型的红细胞,使之寿命缩短或破坏。所以,如果高浓度的抗A、抗B的O型血大量输给A型、B型和AB型的受血者,也可引起红细胞在血管内溶血。其它原因还可以Rh血型不合、稀有血型不合、A亚型等。Rh血型系统中以抗D为最多,D阴性受血者输入D阳性红细胞后产生抗D抗体,以后再次输入D阳性红细胞,即可被破坏而发生溶血反应。
2.迟发性溶血性输血反应 由于患者经初次免疫后,体内形成同种抗体,其浓度逐渐增加时即可与患者血液中存在的输入的红细胞发生溶血反应。这种反应常发生于输血1~2周后,或者曾有输血史或妊娠史,待输入不相合的红细胞抗原,可导致IgG抗体水平迅速增加,与输入的红细胞结合,发生溶血性输血反应。
(二)非免疫性溶血反应
如果血液保存时温度过高或过低,或运输过程中受到挤压、剧烈震荡等、或血液中加入高渗或低渗性溶液,或加入某些药物等,均可造成红细胞破坏而发生溶血。
(三)溶血性输血反应的临床特点
1. 急性溶血性输血反应急性溶血性输血反应的临床表现的轻重程度取决于输入血量、病情、用药情况、抗体效价等因素。轻者可与一般的发热反应类似,很快恢复。重者可出现寒战、高热、心悸、腰背部疼痛、恶心呕吐、血红蛋白尿、少尿或无尿,甚至肾功能衰竭;严重者可出现DIC、休克等,危及生命。
2. 迟发性溶血性输血反应溶血可以发生在血管外、也可以发生在血管内,一般输血后5~7天出现血胆红素升高、黄疸。
(四)溶血性输血反应的诊断
输血后如果出现寒战、高热、心悸、腰背部疼痛、恶心呕吐、血红蛋白尿、间接胆红素增高时诊断并不困难。但应及时进行下列检查:核对患者与供血者、配血试管的标本与血袋中的血型有无错误,检测血常规、尿常规、血清胆红素、抗人球蛋白试验;进一步检查血袋内的血和患者输血前后血型测定、交叉配血以及抗体的检测等。
四、老年贫血
 
随着经济发展、生活水平的改善,人类的平均寿命在提高,人口老龄化现象越来越明显,贫血在老年人中发病率明显增加。很多老年人轻度甚至中度贫血常被忽视。老年贫血(anemia in the aged)是老年患者独立的危险因素,即便是轻度贫血也可能导致机体功能损伤和死亡率升高。
按(World HealthOrganization,WHO)标准诊断,即男性血红蛋白(Hb)<130 g/L,女性Hb<120 g/L。我国2002年居民营养与健康状况调查数据显示:城乡≥60岁的老年人贫血患病率29.1%,养老院中老年贫血患病率更高。Artz等研究了900例养老院的老人中位年龄82岁(87%≥60岁),发现其中48%患贫血。在美国,已经把老年贫血看为一个血液学公共卫生危机。
(一)老年贫血的常见原因
老年贫血产生的原因常是综合性和多种多样的,但以缺铁性贫血最常见,其次为慢性病贫血、骨髓增生异常综合征、巨幼细胞贫血、溶血性贫血和白血病等。贫血的临床症状主要表现为面色苍白、乏力、心悸气促、耳鸣、头晕等。
(二)老年贫血的机制
1.造血功能下降明显 多种因素会导致红细胞生成减少或消耗增加。老年人各种器官功能日渐衰退.骨髓脂肪组织也逐渐增多,而造血红骨髓减少。
2.免疫功能降低 老年人机体免疫力普遍降低,易发生自身免疫性贫血,也易于引发感染性疾病、肿瘤而发生继发性贫血。
3.造血原料缺乏 老年人慢性病多,长期卧床、牙齿脱落、咀嚼力差、消化吸收功能下降等因素使得进食少,使造血原料不足。
4.铁吸收利用率降低 由于老年人胃酸分泌减少,胃黏膜萎缩及胃肠功能减退,对营养物质的吸收能力也差。加之老年人合并有其他疾病.有些药物的副作用也会引起胃肠功能紊乱,铁吸收利用率降低易于发生缺铁性贫血和巨幼细胞贫血。
5.各种慢性疾病的影响 老年人常患有心、肝、肾、胃肠等多种慢性疾病,对造血功能也有明显影响,红细胞生成素(erythropoietin,EPO)分泌下降,影响红细胞量生成。
(三)老年贫血的临床特征
老年贫血除一般贫血症状如苍白、乏力外,有其自身一些特点:①)老年贫血多为继发性,常因感染等原因而加重。②发生较为缓慢、隐匿,症状容易被其他系统病所掩盖。③易伴发精神神经症状或代谢异常。如头晕、晕厥、淡漠、兴奋、反应迟钝甚至精神错乱、幻觉、妄想、失眠、感觉异常、大小便失禁、脱水、电解质失衡等。④常有食欲减退,消化不良,便秘或腹泻,舌炎、口炎、味觉异常,严重缺铁性贫血时可出现间歇性吞咽困难。⑤由于血氧含量下降,常有心绞痛;心排出量减少,表现为心慌、气短;心肌营养障碍,心脏扩大,出现收缩期杂音(经适当治疗可消失);周围血管病如间歇性跛行比较显著。⑥巨幼细胞贫血或恶性贫血时,易出现低热、轻度黄疸、脾大、脊髓急性联合变性和末梢神经变性。
五、儿童贫血
 
儿童贫血在临床上较常见,其在病因、发病机制、诊断治疗上也有很多独特之处,要了解不同年龄组儿童贫血发生的特点,首先需要了解各年龄组儿童的生理特点。
(一)婴儿及儿童时期红细胞和血红蛋白参数
1.红细胞与血红蛋白 由于胎儿组织含氧量低,刺激了EPO的合成,高水平的EPO促使红细胞增生旺盛,新生儿出生时红细胞数达5~7×1012/L,血红蛋白量约为150~220g/L;出生后随着肺自主呼吸的建立,血氧饱和度升高,EPO合成减少,同时由于胎儿红细胞寿命较短,短期内出现较多红细胞破坏,出现生理性溶血。生理性溶血呈自限性经过,婴儿3个月以后,EPO生成增加,红细胞和血红蛋白相应增加,婴儿期红细胞维持在4~5×1012/L,血红蛋白在110g/L左右,12岁时红细胞和血红蛋白可达成人水平。
2.网织红细胞 网织红细胞反映了骨髓红系造血情况,初生 3天约为红细胞的4%~6%,5个月以后约与成人相同。
(二)儿童贫血的常见病因
1.红细胞生成减少性贫血 儿童贫血多见营养性缺铁性贫血和巨幼细胞贫血;其他如先天性纯红细胞再障(Dimond-Blackfan贫血)多见于婴儿期发病,Fanconi贫血多见于儿童期发病,两者均常伴先天性多发畸形。儿童缺铁性贫血的主要原因是先天储备不足、生长发育快使需求增加而摄入相对不足,以及寄生虫感染所致的慢性失血等。
2.红细胞破坏过多性贫血 常见于溶血性贫血。如新生儿同种免疫溶血性贫血(详见第八章)。
(三)儿童贫血的诊断
WHO提出的贫血标准为海平面地区,Hb低于以下水平者可以诊断为贫血:6个月到6岁儿童Hb<110g/L,6~14岁<120g/L,14岁以上同成年人标准。1986年联合国儿童基金会建议,1个月以上<90g/L,4个月以上<100g/L,新生儿贫血标准为<145g/L。判别贫血的程度基本与成人一致,但新生儿与6个月以内婴儿不能按照成人标准。
六、新生儿贫血
 
新生儿贫血(anemiaof the newborn)是妊娠34周以上的出生婴儿发生的贫血。定义的贫血标准:出生后48小时内外周静脉血血红蛋白浓度≤160g/L;出生后49小时~7天,血红蛋白浓度≤145g/L;出生1周后血红蛋白浓度≤100g/L;出生后2周内红蛋白浓度≤130g/L。或者外周血血红蛋白浓度≤145g/L;出生后2周后静脉血血红蛋白浓度≤115g/L;双胎儿,双胞儿之间血红蛋白相差35~50g/L的低值者。
日龄≤2周,血红蛋白浓度100~145g/L者为轻中度贫血,≤100g/L者为重度贫血;日龄>2周,血红蛋白浓度80~150g/L者为轻中度贫血,<80g/L者为重度贫血。<7天发生者为新生儿早期贫血;≤7天发生者为新生儿晚期贫血。
失血、溶血和红细胞生成障碍是新生儿贫血的三大病因或原因。新生儿失血引起的贫血也称为新生儿失血性贫血(hemorrhage anemia of the newborn)是婴儿在出生前、出生时或出生后因各种原因出血而引起的贫血,是新生儿贫血的主要原因(约占30%),也是早期新生儿重度贫血的原因之一,临床症状因失血过程的急慢和失血量多少而异。新生儿血液丢失40ml即可以出血贫血。
发生于新生儿时期的各种溶血性贫血是新生儿贫血的另一主要原因。红细胞生成障碍性原因见于先天性或遗传性再生障碍性贫血,获得性再生障碍性贫血和营养缺乏性贫血。
七、早产儿贫血和早产儿生理性贫血
 
早产儿贫血(anemiaof permaturity)是指早产儿于出生后一年内发生的贫血。定义的贫血标准为出生后一周内静脉血的血红蛋白浓度<130g/L,一周后血红蛋白浓度<100g/L。早产儿贫血的病因复杂,主要为溶血、造血抑制和血容量增加。
早产儿生理性贫血,早至4~8周,血红蛋白浓度80g/L(65~90g/L),尤其是极低出生体重儿,可以出现缺氧的症状与体征。婴儿出生后EPO迅速降低,低出生体重儿对缺氧的EPO反应比同等程度贫血的成人红系祖细胞对EPO敏感性高,且红细胞寿命缩短(60~80天)、缺铁、维生素E缺乏和医源性失血等因素是导致早产儿生理性贫血。
八、牛乳性贫血
 
牛乳性贫血(cows milk anemia)是指婴儿摄入全牛乳后发生蛋白丢失性肠病或胃肠道出血而发生的贫血。可能原因是超敏反应或变态反应。一般认为,在出生后的第一年内,不应给予全牛乳,不管是未消毒加工的还是巴斯德消毒过的牛乳。如同婴儿配方的制备一样,延长加热时间则可以消除这一超敏反应。有胃肠道内在病变者,在较大的儿童中也可以引起出血。
九、维生素E缺乏溶血性贫血
 
维生素E广泛分布于各种食物中,因此营养性缺乏极其少见。人类维生素E缺乏引起血液学异常的仅限于新生儿期和慢性脂肪吸收不良的病理状态。维生素E缺乏溶血性贫血(hemolytic anemia of vitamineE deficiency)又称新生儿维生素E缺乏综合征,是由于未成熟儿体内缺乏维生素E致使新生儿晚期发生的自限性溶血性贫血。
维生素E是重要的抗氧化剂,对维持红细胞膜完整性及其重要,故维生素E缺乏时红细胞膜脂类氧化性损伤增加,进而发生溶血。维生素E用于非维生素缺乏的遗传性溶血性贫血患者,如谷胱甘肽合成酶缺乏症、6-磷酸葡萄糖脱氢酶缺乏症,可以代偿性增加红细胞的抗氧化性防御功能和红细胞寿命延长。低出生体重儿缺乏的主要原因:①出生时体重越低维生素E贮存量越少,且吸收能力减低、生长需要量增加;②人工喂养,牛乳中维生素E含量低(约为母乳的1/6),且硒也低;③铁剂不利作用,早产儿头三个月内服用过多铁剂增加维生素E需要量,使出生后的2~3个月内维生素E低于正常。
本病多见于低出生体重儿和人工喂养(如富含大量多不饱和脂肪酸与铁元素而维生素E含量不足的饮食)的早产儿,常在出生后4~10周内可以发生溶血性贫血。贫血常伴有红细胞形态异常,血小板增多和足背水肿。给予维生素E治疗后,血红蛋白浓度较快上升,网织红细胞计数下降,红细胞寿命回升,血小板计数恢复正常和水肿消失。一般于患儿生后3个月左右也可以自行纠正与恢复。
新生儿和儿童维生素E缺乏的主要标准为维生素E<0.3mg/L(参考区间>0.5mg/L)或血维生素E<0.8mg/L。
十、雅克什贫血
 
雅克什贫血又称雅克什综合征(von jaksch' s syndrome)、婴儿营养感染性贫血或假性白血病性贫血,患者多为6个月至2岁的婴幼儿。
(一)病因
营养缺乏(主要是造血物质缺乏)、佝偻病及长期慢性或反复感染(如呼吸道感染、泌尿系感染、皮肤化脓性感染)是患病的主要原因。
(二)临床特征
婴幼儿发病。主要为营养性贫血及肝脾肿大等骨髓外造血的表现。通常,营养不良与感染同时存在。有慢性或反复感染史。起病缓慢,面色逐渐苍白或呈蜡黄色,瘦弱,精神萎靡,常有不规则发热。除感染和贫血症状外,尚有肝脾肿大,以脾大为主。全身淋巴结可轻度肿大,有时可见皮肤出血点或水肿。预后,一般良好,经去除病因、改善营养、治疗贫血后可痊愈。
(三)血象
多表现为中度以上营养性混合性贫血,也可表现为小细胞低色素性贫血。红细胞大小不等,易见异形和嗜多色性红细胞,可见有核红细胞,网织红细胞正常或轻度增高。白细胞增高,可高达30×109/L~40×109/L,细胞分类可见少量各阶段的幼粒细胞,甚至原粒细胞,可见中性粒细胞中毒颗粒及空泡。血小板一般正常,少数可减少。中性粒细胞碱性磷酸酶染色阳性率及积分值可见增高。
(四)骨髓象
有核细胞增生多明显活跃(图21-)。粒系明显增生,以中、晚幼粒细胞为主,可见中毒颗粒及空泡。幼红细胞多增生活跃,可见类似缺铁性贫血的形态学表现,也可有巨幼细胞贫血时所见。巨核细胞正常或减少。少数病例增生低下,淋巴细胞相对增多。
其他,血清铁、铁蛋白、维生素B12及叶酸含量减低。
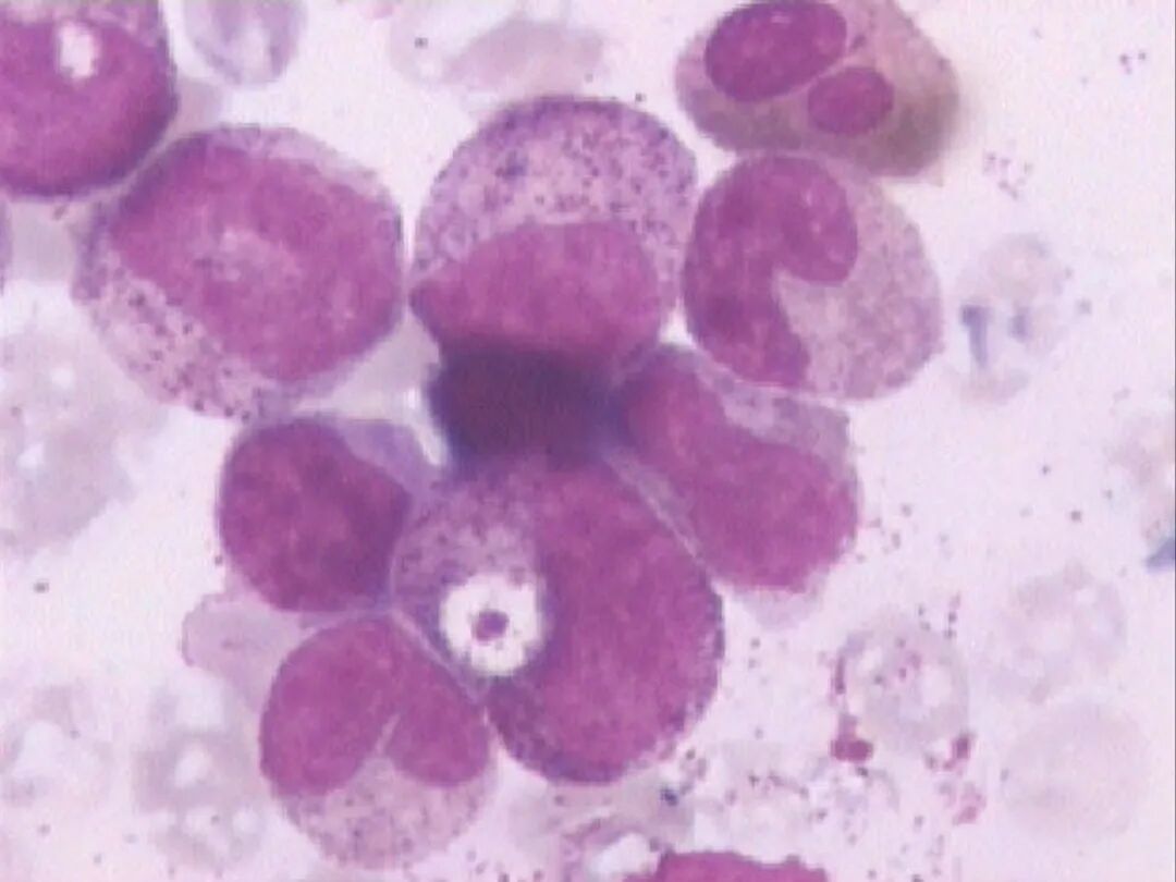
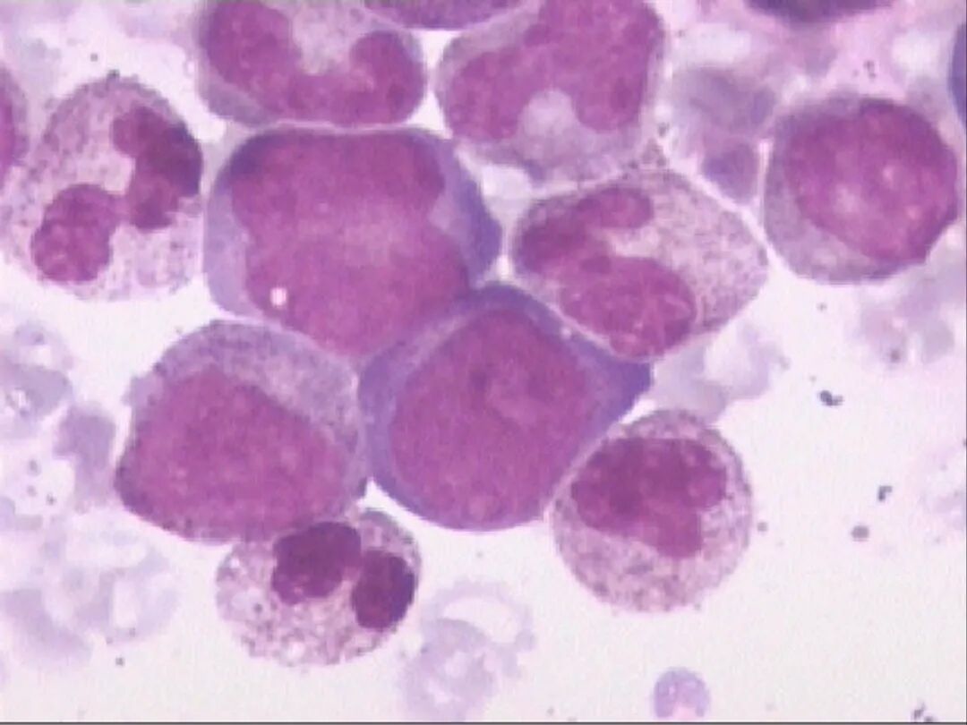
图21-1 雅克什贫血中性粒细胞碱性磷酸酶活性和骨髓象
a为血片中性粒细胞碱性磷酸酶活性增高;b、c为骨髓粒细胞明显增多,可见空泡和颗粒增多
(五)诊断与鉴别诊断
诊断主要依据临床特征,但需要排除白血病和类白血病反应以及其他有骨髓外造血的疾病,如婴儿型骨硬化症、骨髓纤维化。
十一、妊娠期贫血
 
妊娠期贫血(anemiain pregnancy)是妊娠期期间生理性血液系统和内分泌激素变化和某些造血原料生理需要量增加而发生的贫血。
贫血发生的主要机理是血容量增加,铁和叶酸及(或)维生素B12的需要量增加等原因所致。妊娠期间,除生理性“贫血”外,较常见的是缺铁性贫血与巨幼细胞贫血,也可见再生障碍性贫血等类型。
妊娠期间,约20%的孕妇白细胞计数轻度增高,随着分娩的接近,中性粒细胞百分数逐渐增高,分娩时白细胞计数明显增高,最高可达34×109/L,中性粒细胞碱性磷酸酶积分也常增高。血小板计数稍增加或减少,在分娩后1~2天后增高。妊娠虽属生理性,但其强烈的应激也可使原来隐蔽的或有潜在的造血疾病得以促发,因此妊娠期间发生的造血肿瘤,如MDS和白血病也不罕见。这类造血肿瘤伴发的贫血则不属于妊娠性贫血。
(一)妊娠合并缺铁性贫血
妊娠合并缺铁性贫血是妊娠期最常见的贫血,约占妊娠期贫血的95%,主要是由于妊娠期血容量增加、血液稀释及胎儿生长发育对铁的需要量增加和孕妇对铁的储备、摄取及吸收相对不足引起的。妊娠期贫血起病缓慢、贫血逐渐发生,早期常无症状,轻度贫血对妊娠的影响不大,重度贫血时会导致身体各器官组织出现不同程度的缺氧,并引起相应的症状,如心、脑等脏器缺血、缺氧会出现心率加快、心悸、头晕、乏力等症状出现皮肤、黏膜苍白、皮肤毛发干燥,贫血还会降低孕妇的抵抗力,易发生切口感染及产后感染。严重贫血可造成子宫胎盘供血、供氧不足导致胎儿宫内发育迟缓,重者可危及胎儿生命。胎儿长期宫内缺氧会影响神经系统发育。
妊娠合并缺铁性贫血的诊断,孕妇Hb<100g/L,血清铁蛋白(SF)<12μg/L,骨髓铁染色显示骨髓小粒可染色铁消失,铁粒幼细胞<15%.
(二)妊娠合并巨幼细胞贫血
妊娠时叶酸的需要量增加,尤其在妊娠后期,胎儿生长发育的需要,母体对胎儿的叶酸供给呈逆浓度梯度的主动转运,即使母体叶酸缺乏,也要供给胎儿。此外,孕妇肠道对叶酸的吸收低于正常人、多次妊娠、食品烹调加工不当等都可引起妊娠期叶酸缺乏。
在妊娠期,胃壁细胞分泌内因子减少、胃酸及胃蛋白酶分泌降低,维生素B12吸收也相应减少;同时,胎儿又不断从母体摄取维生素B12,导致血中维生素B12水平逐渐下降。
在妊娠期,如果叶酸和(或)维生素B12缺乏,可出现巨幼细胞贫血,而其中叶酸缺乏者远较维生素B12缺乏多见。
妊娠合并巨幼细胞贫血的临床表现主要是贫血和消化道症状,还可有四肢麻木、深部感觉减退等神经系统症状。
妊娠合并巨幼细胞贫血的诊断:妊娠合并巨幼细胞贫血呈大细胞性贫血,骨髓造血细胞有明显的巨幼变,血清叶酸和维生素B12测定均有助于诊断。
如果既有铁缺乏,又有叶酸或维生素B12缺乏可引起混合性营养性贫血。
(三)妊娠后再生障碍性贫血
妊娠时胎盘催乳素与促红细胞生成素对红细胞的生成作用平衡失调,雌激素对骨髓的抑制作用,妊娠时自身抗体抑制骨髓造血,都可引起全血细胞减少和骨髓增生低下。
妊娠后再生障碍性贫血临床表现为全血细胞减少和骨髓增生低下,以贫血症状为主,可伴有不同程度的感染和出血。胎儿生长缓慢,病情严重者可发生早产或死胎。产后病情可逐渐自行缓解,血象可完全恢复正常。
(四)妊娠后溶血性贫血
妊娠后发生溶血的主要原因有:药物、化学物质、重金属、以及输血、胎膜破裂或难产后的宫内感染等。
妊娠后溶血性贫血的主要表现有贫血、黄疸、肝脾肿大、血红蛋白下降、网织红细胞增高等;急性溶血时可出现高热、心悸、腰背部疼痛、恶心呕吐、血红蛋白尿、少尿或无尿,甚至肾功能衰竭。
(五)妊娠期贫血的诊断
妊娠期贫血是妊娠期常见的合并症之一,妊娠期或产后6周内孕妇血红蛋白低于一定数值即为贫血。WHO提出Hb<110g/L为妊娠期贫血的标准。目前国内确定的标准为如果Hb 不低于100g/L称为妊娠期生理性贫血,如果Hb<100g/L为病理性贫血。
十二、稀释性假贫血
 
稀释性假贫血(dilutionalpseudoanemia)又称稀释性贫血(dilutionalanemia),是由于某些情况下因血浆容量增大而出现的血红蛋白水平和红细胞计数或血细胞比容减低而患者红细胞总量无变化的一种假性贫血。如在妊娠中发生慢性血管内容积增大会降低妊妇血红蛋白浓度至100g/L左右;急性容积超负荷也能引起红细胞数量的稀释性减低;某些给药方法,尤其是一些细胞因子如白介素-2、白介素-11和粒单系细胞集落刺激因子,也可以发生急性血液稀释所致的假性贫血。假性贫血可能或造成误判失血或急性贫血,可能会导致不必要的处理和诊断成本。
十三、卟啉病所致贫血
 
卟啉病(prophyria)也称为紫质病,是血红素生物合成途径中特定的酶活性异常,导致该途径中间产物生成过量与蓄积并导致组织损伤的抑制代谢性疾病。
本病多为遗传性,临床上可以分为:皮肤型卟啉病(包括迟发皮肤型卟啉病、肝性红细胞生成型卟啉病、先天性红细胞生成型卟啉病、红细胞生成型原卟啉病和三羧基卟啉病)、神经型卟啉病(包括急性间歇型卟啉病、δ-氨基-γ酮戊酸脱水酶缺陷型卟啉病)和皮肤神经型卟啉病(包括混合型卟啉病和遗传性粪卟啉病)。
在血红素生物合成途径中,有8种酶参与,除了δ-氨基-γ酮戊酸合成酶缺陷与遗传性铁粒幼细胞贫血(见第四章)外,其余7种均与卟啉病相关。与卟啉病有关的贫血见于常染色体隐性遗传的先天性红细胞生成型卟啉病和常染色体显性遗传的红细胞生成型原卟啉病。
先天性红细胞生成型卟啉病是由于尿卟啉原III合成酶缺陷导致尿卟啉原III生成减少而尿卟啉原I及其代谢产物蓄积所致。患者多在婴儿期发病,首发症状常是尿色加深,出生后不久即出现皮肤光敏性损害并持续终生。实验室检查尿中尿卟啉I和粪卟啉I增加,红细胞内尿卟啉I和粪卟啉I增加,紫外线照射血液红细胞、网织红细胞和骨髓有核红细胞因含有较多的尿卟啉均会发出红色荧光。患者伴有轻重不一的溶血性贫血和脾大,网织红细胞增高,骨髓红系增生旺盛。偶见严重溶血性贫血伴有脾功能亢进。伴脾功能亢进者切脾可以改善其临床症状。
红细胞生成型原卟啉病又称原卟啉病,是由于血红素合成酶,即亚铁螯合酶缺陷,使原卟啉与二价铁合成血红素障碍,导致红细胞和血浆中原卟啉增加并发生皮肤光敏性损害。近一半患者有轻度贫血,MCV和MCH轻度减低或正常,红细胞寿命正常,骨髓象基本正常。红细胞内原卟啉增加,用荧光显微镜观察骨髓有核红细胞可见红色荧光。
十四、维生素B6反应性铁粒幼细胞贫血
 
维生素B6反应性铁粒幼细胞贫血是指铁粒幼细胞贫血中对大剂量维生素B6(100~200mg/d)治疗有反应者。
根据给予维生素B6的反应程度,可以分典型与非典型二类:①典型者占20%,以青少年多见,贫血较重,为小细胞性,幼红细胞有巨幼样改变,使用维生素B6后症状改善,红细胞增加,血清铁下降,血红蛋白接近正常。然而此时红细胞形态异常仍存在,如中止治疗8~10周即可复发;②不典型者,在给予维生素B6虽有反应,但血象改善不明显。
维生素B6反应性铁粒幼细胞贫血不同于维生素B6缺乏症。虽然两者的形态学变化有所类同,但维生素B6缺乏症者环形铁粒幼细胞较少,肝脾不肿大,并伴有维生素B6缺乏引起的全身症状,如惊厥、神经病变、舌炎和皮炎等。维生素B6缺乏症仅用小剂量的维生素B6(5~10mg/d),即可完全纠正病情。
十五、非缺铁小细胞低色素性贫血
 
将贫血描述为小细胞低色素性贫血是把贫血限于铁、血红素和珠蛋白代谢异常所致的一些贫血。根据铁代谢中铁的缺乏与否,把贫血进一步分为缺铁的小细胞低色素性贫血(缺铁性贫血)与非缺铁的小细胞低色素性贫血。非缺铁的小细胞低色素性贫血是指不存在缺铁但有铁利用障碍或其他原因所致的小细胞低色素性贫血,主要见于地中海贫血(珠蛋白代谢异常与某些珠蛋白肽链缺乏铁或过剩以及铁负荷)、铁粒幼细胞贫血(血红素代谢异常与铁利用障碍,铁负荷所致环形铁粒幼细胞的形成是这一贫血的特异性损害)和炎症性贫血(可以存在功能性缺铁,即细胞内铁减少、细胞外铁增加或正常、血清铁和运铁蛋白减低)或一些慢性病贫血,少见的有无运铁蛋白血症、铅中毒性贫血、铜缺乏性贫血等,详见相关章节。这些非缺铁小细胞低色素性贫血一般都有铁负荷和幼红细胞铁利用不佳。
十六、幼粒幼红细胞性贫血
 
幼粒幼红细胞性贫血(leuco-erythroblasticanemia)常是癌症转移骨髓和骨髓纤维化等髓外造血在外周血液出现低百分比幼粒幼红细胞的贫血。骨髓涂片有核细胞量不定,但与外周血中相仿较为多见。幼粒幼红细胞性贫血,伴有异形红细胞和脾肿大常是骨髓纤维化的表现,而伴有血沉增高、血浆纤维蛋白原水平升高以及无明显原因可以解释的中老年患者,则需疑及转移性肿瘤的可能(详见第十九章)。
十七、酒精性贫血
 
酒精可以引起多个系统器官的癌症发病率增高,还可引起酒精性贫血。长期饮酒过量者常有贫血,引起贫血的原因有酒精直接对红细胞生成的毒性作用或肝功能能不全,或者是营养缺乏(摄入不足是嗜酒者中可见现象,且白酒中极少或不含叶酸)、慢性胃肠道出血等。通常是这些因素的叠加作用。酒精对血小板生成也有影响。贫血类型包括叶酸缺乏性大细胞贫血与巨幼细胞贫血、肝病性贫血、缺铁性贫血和铁负荷性贫血以及慢性病贫血。酗酒者血片中大红细胞和(或)巨红细胞(多为圆形而非椭圆形)增多而无明显贫血和多分叶核中性粒细胞,也被称为酒精中毒型巨红细胞增多症。
十八、难治性贫血
  |